
닫기

닫기

닫기
잠실본 신경주사&
카테터 시술
카테터 시술
신경차단술 40,000례 이상의
원장이 직접 고안하여 개발한
신경주사 카테터 시술
원장이 직접 고안하여 개발한
신경주사 카테터 시술
잠실본만의 특별한
프롤로 주사 치료
프롤로 주사 치료
마취통증의학과 전문의인
대표원장이 끊임없는 연구로
직접 만든 특별한 배합
대표원장이 끊임없는 연구로
직접 만든 특별한 배합
오리지널 약물을
사용하는 진짜 치료
사용하는 진짜 치료
단순히 이윤을 위한 비싼 약물이
아닌 오리지널 유착박리제를
사용한 합리적인 치료
아닌 오리지널 유착박리제를
사용한 합리적인 치료
‘본’ 메디컬
네트워크 구축
네트워크 구축
길동 연세척척재활의학과,
동탄 본정형·재활의학과와
연계된 메디컬 네트워크 구축
동탄 본정형·재활의학과와
연계된 메디컬 네트워크 구축
JAMSIL BON clinic
잠실본 의료진을 소개합니다.
유명 척추·관절 전문 병원 비수술센터장 출신의 수준높은 의료진이 안전한 치료를 약속합니다.

대표원장
마취통증의학과 전문의
마취통증의학과 전문의

주요약력
- 마취통증의학과 전문의
- 대한마취통증의학회 정회원
- 고려대학교 의과대학 의학석사
- 대한통증학회 정회원
- 일산백병원 마취통증의학과 전공의 수료
- 대한척추통증학회 정회원
- 강서 세바른병원 비수술센터장
- 대한통증학회 TPI 교육이수
- 일산백병원 외래 교수
- 미국 보스턴 DotHouse Health Hospital 연수
- 육군 3군수지원사령부 전속 군의관
- 미국 뉴욕 NYU Langone Health Hospital 연수
- 연세척척재활의학과 원장
- 채널A ‘나는 몸신이다’ 309회 주치의
- 법무법인 "율본" 의료자문 전문의




JAMSIL BON CLINIC
잠실본은 믿을 수 있습니다.
항상 진실하게 다가가 진심으로 치료하겠습니다.
01
대학병원급 첨단 장비
세계 최고 사양의 스톨츠 체외충격파와 Alpinion
초음파 등 대학병원급 첨단 장비로 작은 통증까지도
정확하게 진단·치료 할 수 있습니다.
초음파 등 대학병원급 첨단 장비로 작은 통증까지도
정확하게 진단·치료 할 수 있습니다.

02
오리지널 신경치료
저가의 카피 약물이 아닌 오리지널 유착박리제를
합리적인 가격에 사용한 신경차단술을 통해 환자의
안전을 도모하고 부작용을 줄였습니다.
합리적인 가격에 사용한 신경차단술을 통해 환자의
안전을 도모하고 부작용을 줄였습니다.

03
과잉진료 없는 양심진료
자신의 디스크를 이겨낸 전문의가 누구보다도 환자의
불편을 이해하며, 단순히 이윤을 추구하는 것이 아닌
정직하고 진실한 진단을 통해 진정한 치료를 합니다.
불편을 이해하며, 단순히 이윤을 추구하는 것이 아닌
정직하고 진실한 진단을 통해 진정한 치료를 합니다.

JAMSIL BON CLINIC
잠실본 척추관절클리닉
잠실 본 마취통증의학과는 비수술치료를 우선합니다.
척추클리닉
관절클리닉
다양한 질환이 동반되는
척추클리닉
척추클리닉
잠실 본 마취통증의학과의 척추 클리닉은 허리 디스크,
목 디스크, 척추관협착증 등의 다양한 척추 질환에 대한
1:1 맞춤 비수술 치료를 중점으로 시행하며 환자분의
부담을 최소화하고 치료 효과는 극대화할 수 있는
차별화된 시스템을 갖추고 있습니다.
목 디스크, 척추관협착증 등의 다양한 척추 질환에 대한
1:1 맞춤 비수술 치료를 중점으로 시행하며 환자분의
부담을 최소화하고 치료 효과는 극대화할 수 있는
차별화된 시스템을 갖추고 있습니다.
01척추질환의 치료대상
·허리디스크, 목디스크 질환이 있는 분
·팔과 다리의 저림이나 방사통이 있는 분
·척추 협착증이 있는 분
·척추 수술 후 통증이 지속되는 분
·팔과 다리의 저림이나 방사통이 있는 분
·척추 협착증이 있는 분
·척추 수술 후 통증이 지속되는 분

01
주사치료
컴퓨터 정밀영상(C-arm),
초음파를 이용한 주사치료
초음파를 이용한 주사치료
02
물리치료
저주파 치료,
레이저, 자기장치료
레이저, 자기장치료
03
체외충격파
최상위 스톨츠사
체외충격파
체외충격파
04
도수·운동치료
개인 도수·운동치료실,
재활 클리닉
재활 클리닉
다양한 질환이 동반되는
관절클리닉
관절클리닉
관절 치료 병원은 많지만 수술 이전에 수술을 막을 수
있는 ‘관절 보존 치료’를 잘 하는 병원은 적습니다.
오랜 수술 경험과 관절·신경 질환 분야의 축적된
노하우로 건강을 되찾으실 수 있도록 최선을
다하겠습니다.
있는 ‘관절 보존 치료’를 잘 하는 병원은 적습니다.
오랜 수술 경험과 관절·신경 질환 분야의 축적된
노하우로 건강을 되찾으실 수 있도록 최선을
다하겠습니다.
01관절질환의 치료대상
·팔을 들 때 통증이 심하신 분
·어깨를 움직일 때 소리가 나는 분
·계단을 오르내리기 어려우신 분
·무릎이 붓고 통증이 심하신 분
·어깨를 움직일 때 소리가 나는 분
·계단을 오르내리기 어려우신 분
·무릎이 붓고 통증이 심하신 분

01
주사치료
컴퓨터 정밀영상(C-arm),
초음파를 이용한 주사치료
초음파를 이용한 주사치료
02
프롤로 재생증식치료
항염증 효과
인대·힘줄 재생 효과
인대·힘줄 재생 효과
03
약물치료
소염 진통제,
근육 이완제, 통증 완화제
근육 이완제, 통증 완화제
04
도수·운동치료
개인 도수·운동치료실,
재활 클리닉
재활 클리닉
JAMSIL BON CLINIC
잠실본 비수술 특화 클리닉
학회의 꾸준한 연구를 통한 최신의 비수술 치료를시행합니다.
허리와 어깨, 무릎 등 각 부위별 통증에 대한 단순 치료개념을 넘어 환자분들의 완전한 회복을 위해
근본적인 원인을 항상 고민하며, 개개인 환자분들께 최적화된 치료와 시술을 제공하기 위해 노력합니다.
근본적인 원인을 항상 고민하며, 개개인 환자분들께 최적화된 치료와 시술을 제공하기 위해 노력합니다.
신경주사치료
체외충격파
도수치료
프롤로테라피

신경과 근육의 자가회복을
증진시키는 근본치료 신경주사
증진시키는 근본치료 신경주사
영상증폭장치를 통하여 머리카락처럼 가는 신경 부위를 하나하나 찾아내
약물을 주입하여 치료하는 방법입니다.
신경과 신경이 지배하는 근육까지 염증과 유착을 제거시켜 통증을 완화하고
신경과 근육의 자가 회복을 증진시켜 근본적인 치료를 돕는 주사입니다.
약물을 주입하여 치료하는 방법입니다.
신경과 신경이 지배하는 근육까지 염증과 유착을 제거시켜 통증을 완화하고
신경과 근육의 자가 회복을 증진시켜 근본적인 치료를 돕는 주사입니다.
- 신경염증 및
신경주위 부종 감소 - 약 10분 내외의
짧은 시술 시간 - 시술 후 바로
일상 생활복귀 - 남녀노소
시술가능

만성통증의 원인을 치료하는
체외충격파치료
체외충격파치료
두 가지 충격파를 동시 적용하여 효과를 극대화합니다. 통증 부위에 물리적인
충격을 가하면서 통증을 완화시키며 혈관 및 조직 재생 효과를 돕는 치료로
만성통증을 근본적으로 완화하기에 효과적인 치료방법입니다.
충격을 가하면서 통증을 완화시키며 혈관 및 조직 재생 효과를 돕는 치료로
만성통증을 근본적으로 완화하기에 효과적인 치료방법입니다.

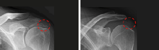
어깨 석회화건염 체외충격파 치료 전후
-
1비절개시술로 흉터가 없고, 바로 일상생활이 가능합니다.
-
210분 정도의 짧은 시술시간으로 일상에 지장이 없습니다.
-
33~4회의 시술로 효과적인 치료가 가능합니다.
-
4통증이 적으며 부작용이 거의 없습니다.
-
5반복적인 시술에도 안정성이 높아 언제든 치료가 가능합니다.
-
6비수술 관절치료의 대표적인 방법으로 모든 관절에 적용이 가능합니다.
-
7임시적인 통증완화가 아닌, 근본적인 통증을 회복시키는 치료법입니다.

프라이빗한 개별 도수치료실에서
시행되는 개인 맞춤형 도수치료
시행되는 개인 맞춤형 도수치료
근골격계의 문제점을 이학적 방법으로 진단, 평가하고 근육이나 인대,
관절의 상태를 파악한 후 관절 기동술과 치료적 마사지 등을 통해 통증
감소와 관절의 정상 움직임을 효과적으로 개선시킵니다.
관절의 상태를 파악한 후 관절 기동술과 치료적 마사지 등을 통해 통증
감소와 관절의 정상 움직임을 효과적으로 개선시킵니다.
-
1독립된 도수치료실에서 시행되는 마취통증의학과 전문의의 1:1 맞춤 진료
-
2진료와 치료가 함께 이루어져 정확한 치료가 가능
-
3전문의의 책임치료로 높은 환자 만족도

약해진 인대를 강화시켜주는
잠실본만의 프롤로테라피
잠실본만의 프롤로테라피
건, 인대, 연골과 같은 뼈 및 관절 주위의 조직이 약화되거나
손상을 입었을 때, 그 부위에 세포 증식을 유도하는 약제를
주사하여 약해져있는 조직을 강하게 하는 치료입니다.
손상을 입었을 때, 그 부위에 세포 증식을 유도하는 약제를
주사하여 약해져있는 조직을 강하게 하는 치료입니다.
-
1다년간의 경험을 토대로 대표원장이 직접 고안한 잠실본만의 약물 배합
-
2비수술 치료로 부작용이 없어 반복적인 치료가 가능
-
3단순한 통증치료가 아닌 인대를 강화시키는 근본적 치료가 가능
JAMSIL BON CLINIC
잠실본 도수교정 클리닉
“도수치료는 마사지가 아닙니다”
전문 의료진이 심도있게 해부학적, 생리학적 지식을 바탕으로
변형된 척추, 관절 등의 불균형을 바로 잡는 비수술 교정 치료입니다.
변형된 척추, 관절 등의 불균형을 바로 잡는 비수술 교정 치료입니다.
잘못된 자세로 인한 만성통증
기존의 잘못된 자세를
그대로 두면 만성 통증은
나아지지 않습니다.
그대로 두면 만성 통증은
나아지지 않습니다.
잠실본의 도수교정치료
마취, 절개를하지 않고
불균형한 체형, 근육 등
근복적인 문제를 바로잡아
만성통증을 해결합니다.
불균형한 체형, 근육 등
근복적인 문제를 바로잡아
만성통증을 해결합니다.
01
전문 의료진
풍부한 시술 경험과
노하우를 가진 전문의가
직접 치료에 관여합니다.
노하우를 가진 전문의가
직접 치료에 관여합니다.
02
1:1 맞춤 치료
환자 상태에 따른
진단과 1:1 맞춤
치료를 시행합니다.
진단과 1:1 맞춤
치료를 시행합니다.
03
원인 치료
척추·관절 질환의
근본적인 원인을
파악합니다.
근본적인 원인을
파악합니다.
04
재발 방지 치료
통증을 완화하는
재발 방지 치료
프로그램을 시행합니다.
재발 방지 치료
프로그램을 시행합니다.
05
최신 장비 도입
최신 장비로
도수·운동·재활을
시행합니다.
도수·운동·재활을
시행합니다.
JAMSIL BON CLINIC
매번 똑같은 치료,
낫고 계시나요?
낫고 계시나요?
잠실 본 마취통증의학과는 단순히 알려져 있는
치료를 반복하는 것이 아닌, 원장 본인의 연구와
경험을 바탕으로 직접 고안하고 개발한
척추 카테터 시술과 프롤로 약물 배합을 통해
보다 안전하면서 효과적인 치료를 제공합니다.
치료를 반복하는 것이 아닌, 원장 본인의 연구와
경험을 바탕으로 직접 고안하고 개발한
척추 카테터 시술과 프롤로 약물 배합을 통해
보다 안전하면서 효과적인 치료를 제공합니다.
JAMSIL BON CLINIC
잠실본 둘러보기
방문하시는 모든 분들이 편안하고 쾌적한 환경에서
진료받으실 수 있도록 최상의 진료 환경을 제공하겠습니다.
진료받으실 수 있도록 최상의 진료 환경을 제공하겠습니다.

OPEN & CLOSE
진료시간
· 월·수(야간)
오전 10 : 00 - 오후 08 : 00
· 화·금
오전 10 : 00 - 오후 07 : 00
· 목·토
오전 10 : 00 - 오후 02 : 00
· 점심시간
오후 02 : 00 - 오후 03 : 00
· 일·공휴일 휴진 / 토요일은 점심시간 없이 진료.
바쁜 직장인들을 위한 점심시간 진료
CONTACT INFORMATION
진료문의
















